



ODONTOLOGÍA GENERAL Y ESTÉTICA
DRA. VERONICA GÓMEZ
La valoración es el inicio de una buena planeación del caso, ya que nos permite ver las necesidades de cada paciente de manera personalizada y llegar al éxito en los resultados
- Detartraje y profilaxis (Limpieza)
- Blanqueamiento: Consultorio o cubetas
- Diseños de sonrisa
- Coronas
- Placas de bruxismo







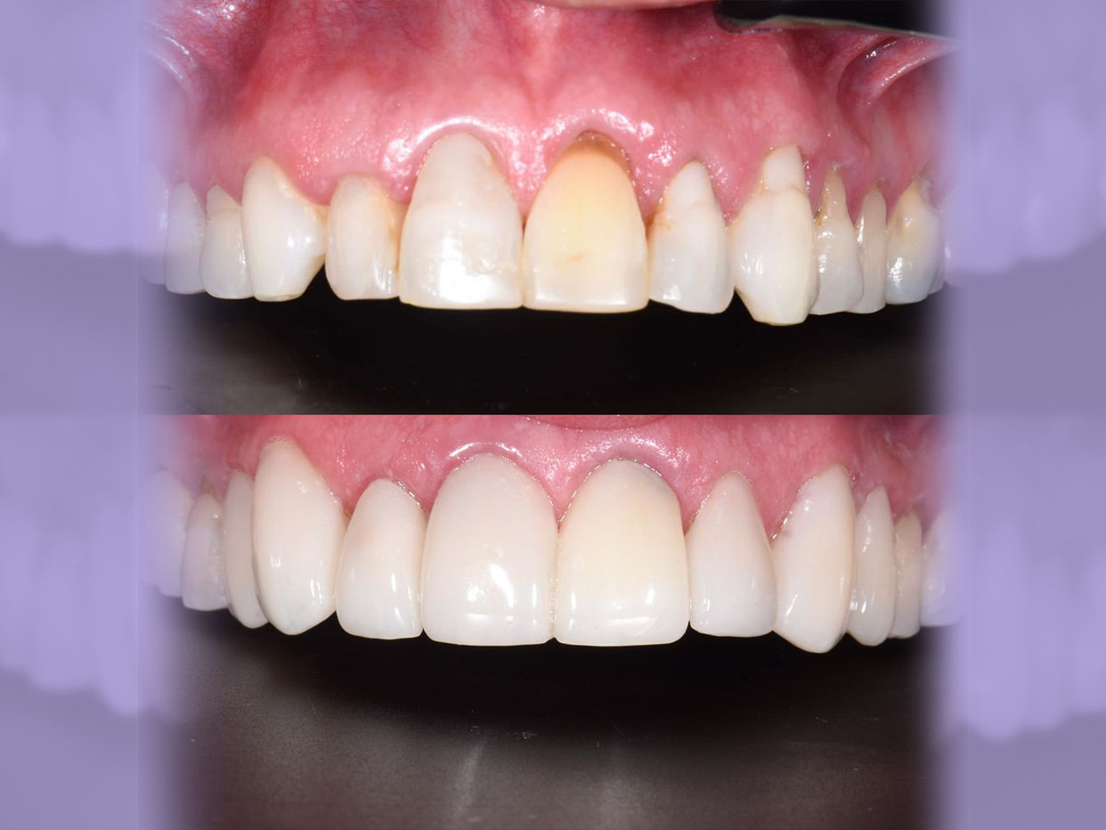
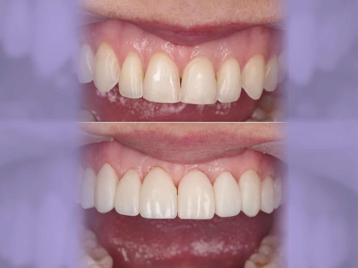
REHABILITACION ORAL
DRA. ANA MARIA GARCÍA GARCÍA
DR. SANTIAGO RODRIGUEZ
Reconstruimos sonrisas para que se vean naturales, funcionales y saludables
- Lentes cerámicos
- Carillas en cerámica y resina
- Prótesis totales
- Prótesis removibles
- Prótesis fijas
- Diseños de sonrisa en una sola cita
- Botox para bruxismo














